INBONE HOSPITAL
발목 인대 파열
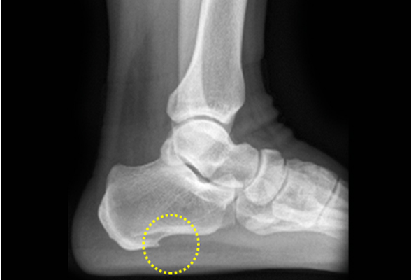
발목의 인대 손상은 정도에 따라 나뉘어 인대의 파열이 생기기도 하며 발목 인대가 손상 되었을 때 치료하지 않았거나,
치료 시기가 늦어진다면 서서히 만성통증으로 이어지게 됩니다.
발목의 인대 손상은 정도에 따라
나뉘어 인대의 파열이 생기기도 하며
발목 인대가 손상 되었을 때 치료하지 않았거나,
치료 시기가 늦어진다면 만성 통증으로 이어지게 됩니다.
비수술 치료 : 약물, 고정치료 (깁스 또는 보조기), 물리치료, 주사치료, 도수치료
수술치료 : 발목인대 봉합술
INBONE HOSPITAL
발목 연골 손상
발목 인대가 손상 되었을 때 치료를 하지 않고 그대로 방치하여 회복 되지 않거나
갑작스러운 외부의 충격으로 인해 연골 손상이 발생하며, 손상된 연골은 자연적인 재생이 불가능하여
반드시 재생 치료를 진행 해야 관절염으로 진행 되는 것을 예방 할 수 있습니다.
비수술 치료 : 약물, 고정치료 (깁스 또는 보조기), 물리치료, 주사치료, 도수치료
수술치료 : 발목 연골재생치료
INBONE HOSPITAL
무지 외반증
무지 외반증은 엄지 발가락이 바깥쪽으로 휘어지는 질환으로, 지속적인 통증과 함께 발의 변형이 나타나며,
엄지 발가락이 제대로 기능하지 못하여 정상 보행이 어려운 경우 발목, 무릎, 허리의 부담으로 인해 2차 질환이 생길 수 있습니다.
비수술 치료 : 약물, 고정치료 (깁스 또는 보조기), 물리치료, 주사치료, 도수치료
수술치료 : 교정술
INBONE HOSPITAL
족저근막염
족저근막은 발뒤꿈치 뼈에서 시작하여 발가락 기저 부위에 붙은 두껍고 강한 섬유 띠로,
발의 아치를 유지하고 충격을 흡수하며 체중이 실린 상태에서 발을 들어 올리는데 도움을 줍니다.
이러한 족저근막에 염증이 발생한 질환을 족저근막염이라고 합니다.
비수술 치료 : 약물, 고정 (깁스 또는 보조기), 물리치료, 주사치료, 도수치료
수술치료 : 관절내시경
INBONE HOSPITAL
아킬레스 건염
아킬레스 건염이 지속되어 아킬레스건이 파열되거나 외부의 충격 등
다양한 원인에 의해 아킬레스건이 끊어지는 것을 말합니다.
아킬레스건염이 지속되어 아킬레스건이 파열되거나
외부충격 등 다양한 원인에 의해
아킬레스건이 끊어지는 것을 말합니다.
비수술 치료 : 약물, 고정 (깁스 또는 보조기), 물리치료, 주사치료, 도수치료
수술치료 : 아킬레스건 봉합술
INBONE HOSPITAL
평발
평발은 보행 시 아치가 무너지면서 뼈의 정렬이 변화되어 안쪽으로 틀어지는 질환으로
평발인 경우 발의 피로도가 증가하며 신체의 균형이 무너질 수 있어, 초기의 진단 및 지속적인 관리가 필요합니다.
비수술 치료 : 약물, 고정 (깁스 또는 보조기), 물리치료, 주사치료, 도수치료
INBONE HOSPITAL
내향성 발톱
내향성 발톱이란 원래 자라나야 하는 살 위로 자라는 것이 아닌
살을 파고들어 자라서, 통증을 일으키는 질환입니다.
내향성 발톱이란 원래 자라나야 하는
살 위로 자라는 것이 아닌 살을 파고들어 자라서,
통증을 일으키는 질환입니다.
비수술 치료 : 고정치료(보조기, 깁스), 약물치료, 주사치료, 도수치료
수술치료 : KD시술




서 있기 힘들어 짐


